Select Language
WhatsApp

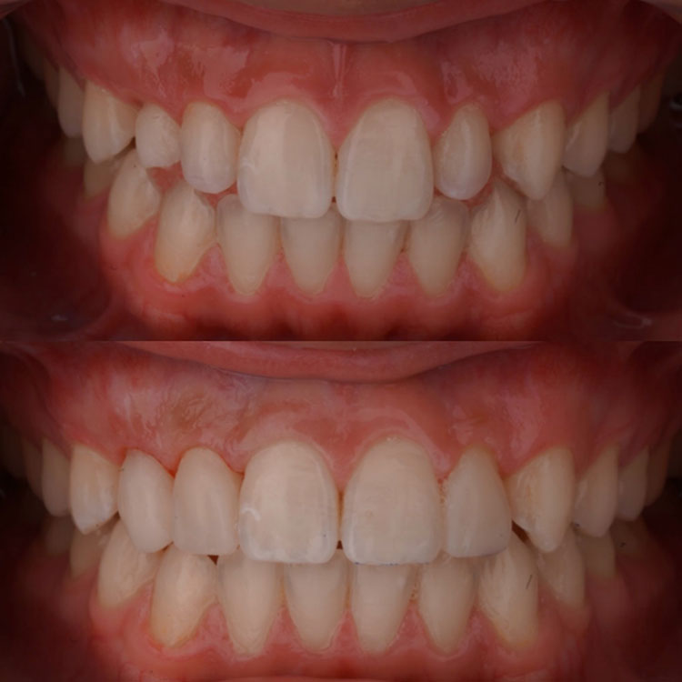
Composite filling

Composite filling

Composite filling

A composite filling is a type of dental restoration that is used to repair teeth that have been damaged by decay or trauma. Unlike traditional metal fillings, composite fillings are made from a tooth-colored resin material that blends in with the natural color of the tooth.

Here are the steps involved in composite filling placement:

  1. Numbing the area: The dentist will first administer local anesthesia to numb the area around the affected tooth.

  2. Removing the decay: The dentist will then remove any decayed or damaged portions of the tooth using specialized tools.

  3. Preparing the tooth: The dentist will shape the remaining tooth structure to prepare it for the filling.

  4. Placing the filling: The dentist will apply the composite resin material to the prepared tooth, layer by layer, and use a special light to harden each layer.

  5. Shaping and polishing: Once the filling is in place, the dentist will shape and polish it to match the natural shape and texture of the tooth.

Composite fillings are typically used for small to medium-sized cavities and can be completed in a single appointment. They are a popular choice because they are durable, natural-looking, and can be color-matched to blend in with the surrounding teeth. However, composite fillings may not be suitable for all cases, and the dentist will evaluate each patient's individual needs to determine the best course of treatment.